Buoyancy Disorders
This page is under construction
One of the more common causes for stranding is buoyancy disorder. These floating turtles are unable to submerge and so are easily captured or blown ashore. They are also commonly victims of trauma due to boat collision or fishing gear entanglement. Each of these confounding problems must be identified and corrected for successful rehabilitation.
The basic cause of the buoyancy is trapped intracoelmic gas, however, it can accumulate in a number of areas. The appropriate treatment will vary based on the location of the trapped air inside the turtle.
Monitoring the percentage of carapace exposed above the waterline and location of the buoyancy can aid diagnosis; it is also important to note if the air is moving or is always in the same location. Daily observation notes such as: 1/3 of carapace exposed, centrally can be used to help diagnosis.
Insert tank photo here

"Entire left side, 40% carapace exposure"
Ideally, horizontal beam radiographs are used to evaluate buoyancy disorders. CT scan and MRI are also valuable imaging tools if available.
If imaging is not available, diagnostic/therapeutic coelomocenteis may be performed as both a therapeutic and diagnostic tool. If free air is encountered them continue to draw until negative pressure is encountered. Measure the volume and establish trends in the medical record. If aseptic technique is used for this procedure it can be safely done as needed to remove gas. For more information, see Sample Collection - Coelomocentesis
Corking is a term used to describe turtles that can pull themselves down with effort but at rest pop back up. Some turtles will wedge themselves under ledges to prevent corking.

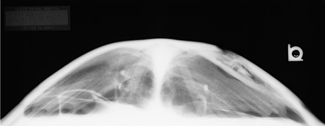
- Loss of intestinal motility is termed ileus. This decrease in peristalsis may be due to intestinal atony related to infection or dehydration, loss of neurologic function and subsequent paralysis, or bowel obstruction. Note gas dilated loops of intestine compressing the dorsal lung fields in this AP view.

- Bowel obstruction can result mechanical ileus. In turtles it is most commonly due to foreign body, intusseseption or constipation/obstipation.
- Intestinal gas can vary in location and can change location.



- Ingested air may be noted after turtle has been dry docked.
- Air may be trapped in bulla in the lung or associated with pneumonia.
- Aspiration pneumonia is commonly seen as a "fog line" on the AP view with normal lung above and below. It is typically bilateral.
- Pneumonia will appear as increased soft tissue density focused along the primary bronchi. It may affect both lungs but most commonly only one. *Severely debilitated or cold stunned turtles may behaviorally float due to breath holding.
- Pneumocoelom (free gas in the body cavity) is seen associated with trauma that can result in lung tears. The presence of free gas in the coelom will create positive pressure and compress other viscera including the lungs. Many small lung tears will spontaneously seal. Daily aspiration of free gas (measure and record the volume) can promote sealing of small tears.

Pneumocoelom on left due to carapace fracture with ileus on right
- Pneumonia tends to lateralize and not move.
- Pneumocoelom is often central and typically does not shift from side to side.
Internal tumors, such as fibropapillomas, can cause lateralizing, nonshifting bouyancy issues as they will increase density on the side they occur in and result in compensatory hyperinflation on the opposite side.
Chronic buoyancy (> 4 weeks) will result in changes in conformation of the lungs as the saccular lungs expand. A chronic posterior buoyancy will caudally dilate the lung fields. Lateralizing buoyancy problems can result in hyperinflation and enlargement of one lung with hypoplasia of the other. Once these conformational changes occur the animal may remain positively buoyant even if the original cause has been corrected.
If the animal is to be held in captivity and the buoyancy problem has not resolved in 1 month then external weights should be applied to normalize flotation and prevent deformation of the lungs.
Lung conformation changes in a buoyant, unweighted turtle over the course of 2 months.


Buoyant turtles are not considered releasable as they will have difficulty foraging and are at high risk for watercraft collision. Releasing a turtle with external weights is not appropriate as the weights will ultimately fall off and if the cause for the buoyancy has not been identified and corrected it is likely to return.